top of page

Lunes-Viernes 10AM-8PM Sábados 10AM-2PM




Prueba de pónticos
en cera




Prótesis total
en acrílico caracterizada
Funcionalidad, anatomía y estética, siendo esta última tan importante para mimetizar las prótesis en boca y a su vez imitando los caprichos y particularidades de la naturaleza, siendo único en cada paciente.
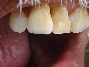
Prótesis terminada




METAL PORCELANA
resultados estéticos




PRÓTESIS PARCIAL REMOVIBLE PPR




PPR FLEXIBLES AL ALTO BRILLO
PPR METÁLICOS GM 800
Swing-lock para casos especiales




PRÓTESIS LIBRE DE METAL
CERÓMEROS
CERÓMEROS CON APLICACIÓN DE PIGMENTOS INTERNOS
![]() | ![]() | ![]() |
---|
Coronas totales metálicas
Moving To The GhettoJanusz Olejniczak
00:00
bottom of page